Sunday, August 9, 2009

Meniscal Tears
















www.bcbsri.com









A torn meniscus is an injury to one or more of the two meniscal cartilages within the the knee. The two menisci consist of medial and lateral mensicus. A tear to the meniscal cartilage is often the result of an any activity that causes forceful twisting or rotating of the knee joint. These activities can include aggressive pivoting, sudden stops, sudden turns, kneeling, deep squatting, of lifting something heavy. In older adults, degenerative changes associate with age can result in in torn meniscus.






Symptoms that may be present with torn meniscus:






A popping sensation






Swelling or stiffness






Knee instability






Pain, especially with twisting or rotating the knee






Difficulty fully extending the knee






Feeling of as if the knee was locked in place.






In athletes, a torn meniscus can also be accompanied with a tear or injury to the ACL.






Test and Diagnosis:






A physical exam by a physician can often be the first sign of a torn meniscus. This exam will likely be followed by a radiograph of the knee, and even an MRI of the knee joint. MRI is the preferred imaging modality to evaluate the extent of a previously determined meniscal tear.






Treatment Options:






Treatment for meniscal tears often start with a conservative approach of rest, ice, OTC pain relievers, physical therapy, and/or orthotic devices such as arch supports and shoe inserts. If symptoms persist, surgical intervention maybe necessary. This can involve either an arthroscopic repair of the torn menisci, or trimming of the menisci. The surgery usually allows patients to go home the same day, with full recovery taking several weeks or months.






Prevention:






Regular exercises to strengthen the knee joint is beneficial.






Use proper protective gear during athletic activity.


















Sunday, August 2, 2009

Carpal Tunnel Syndrome













The Carpal Tunnel is a passageway on the palmer surface of the wrist that allows for and protects the Median nerve as it passes through the wrist into the hand. Carpal Tunnel Syndrome is caused by anything or aspect that causes the space within the tunnel to become reduced; thus compressing the Median nerve. This compression can be a result of the tunnel getting smaller, or contents within the tunnel getting bigger.




Some known risk factors associated with Carpal Tunnel Syndrome are:


Heredity - inherited physical conditions such as shape of the wrist may make an individual more susceptible to having the condition, as well as having other members in the family having had the condition too.


Gender - women are 3 times more likely to have the condition.


Health Condition - thyroid problems, diabetes, obesity, rheumatoid arthritis, end stage kidney disease, pregnancy, oral contraceptives or menopause can all increase the risk of having Carpal Tunnel Syndrome




Compression of the Median nerve can stem from:


rheumatoid arthritis, diabetes, thyroid disorders, menopause, pregnancy, trauma to the hand and wrist, genetic disposition, and prolonged repetitive flexing and extending of the bones/tendons within the hand and wrist.




Symptoms that accompany Carpal Tunnel Syndrome include:


Tingling and numbness in the fingers and hand (especially thumb, index, middle, and ring fingers), pain radiating or extending up the arm into the shoulder or down into the palm of the hand, (usually occurs on the palmer surface of the hand), and weakness in the hand. As the condition worsens, the symptoms increase with severity as well.




In efforts to diagnosis Carpel Tunnel Syndrome a physician might order:


Electromyogram - Electromyography measures the tiny electrical discharges produced in muscles. A thin-needle electrode is inserted into the muscles your doctor wants to study. An instrument records the electrical activity in your muscle at rest and as you contract the muscle.


Nerve conduction study - two electrodes are taped to your skin. A small shock is passed through the median nerve to see if electrical impulses are slowed in the carpal tunnel.


Routine diagnostic imaging exams such as x-rays, MRI, and/or CT aren't commonly used to diagnosis Carpal Tunnel Syndrome, but might be ordered to rule out any other diseases related to the patients symptoms.




Treatment for Carpal Tunnel Syndrome include:


Anti-inflammatory medications, Rest, Immobilization, Corticosteroid injections, and possible even surgery to "release" the ligament impingement on the Median nerve.




Sunday, July 12, 2009

AVN of the Hip

























Avascular Necrosis (AVN) is the death of bone tissue as a result of the lack of blood supply to the bone and its surrounding tissue; in this case, specifically the hip area. This blood supply often leads to collapse of the bone, and if it occurs in a joint space - the collapse of the entire joint.




Causes of AVN:


Trauma to the hip


Steroid Use


Heavy Drinking


Sickle Cell Anemia


Gaucher's disease


Lupus


Decompression disease - bends


Cancer tx - chemo/radiation therapy.




Symptoms of AVN of the hip:


Pain in the groin, thigh, and knee. This pain usually worsens with standing or walking.




Testing for AVN


Hip Radiographs, early stages of AVN may not be a prominent on radiographs as compared to later stages of AVN being evident of radiographs.


MRI of the hip can show early bone degeneration's that may be a result of AVN.


Laboratory test such as bone biopsy may also be used as additional resources.




TX:


Medications - NSAIDS - for pain relief


Rest - restriction of physical activities


Physical Therapy to improve range of motion


Surgery such as decompression, bone reshaping, bone transplant, and joint replacement




www.mayoclinic.com


Sunday, July 5, 2009

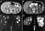
Polycystic Kidney Disease


























www.nature.com




Polycystic Kidney Disease is an autosomal dominant genetic disorder. It is the most frequent cause of renal failure among adults. It is also responsible for 6-8% of dialysis patients in the United States. Polycystic Kidney Disease is a multisystemic progressive disorder that is characterized by the formation and enlargement of renal cysts in the kidney and other adjacent abdominal organs such as: liver, pancreas, and spleen. It is also characterized by the bilateral cystic dilation of the renal tubules, which may lead to end-stage renal disease. Hepatic cysts, cerebral aneurysms, and cardiac valvular abnormalities are also possible. The disease can be classified either PKD1 and PKD2. PKD1 is expressed as an abnormality in the short arm of chromosome 16. PKD2 is expressed as an abnormality in the long arm of chromosome 4.

PKD is slightly more severe in males than in females.
PKD symptoms generally increase with age.
The major causes of morbidity is the progressive renal dysfunction, and results in grossly enlarged kidneys and kidney failure.
Over half of patients with PKD undergo kidney transplant by the age of 60 years old.

Signs/Symptoms:
A decrease in urine concentration.
Hypertension
Abdominal Pain - flank or back: related to kidney enlargement, cystic enlargement, bleeding, perinephic hematoma, or urinary tract infections.
Hematuria
Palpable bilateral abdominal flank mass
Pallor
Uremic fetor
Dry skin
Edema

Testing
Lab Tests such as serum chemistry profile; including calcium and phosphorus, a complete blood cell count, urinalysis, urine culture, uric acid determination, and intact parathryoid hormone value.

Ultrasound is the most widely accepted imaging technique for diagnosis of PKD because it does not use radiation or contrast material. It can diagnosis cysts up 1-1.5cm, as well as detect extrarenal abdominal features.
CT scan is a more sensitive imaging modality because it can detect renal cysts as small as 0.5cm but because of the use of radiation and contrast material it is not routinely used for diagnosis.
MRI is more sensitive than either ultrasound or CT, especially in determining the difference between PKD and Renal Cell Carcinoma. It is also the best imaging tool for monitoring kidney size after the patient has undergone treatment in order to assess progress.
Intravenous Urography (IVP) was once the most widely used and popular tool for diagnosing PKD. However, with the evolution of ultrasound, IVP has been replaced mainly because of its requirements of contrast material and radiation doses.

Medical Therapy for treatment of PKD
Control Blood Pressure
Use of ACE inhibitors
Control associated disorders hyperkalemia, hyperphosphatemia, hypocalcemia, hyperparathyroidism, acidosis).
Treat urinary tract infections
Reduce abdominal pain, avoid use of anti-inflammatory NSAIDS
Patients with PKD and End Stage Renal Disorder may need to undergo hemodialysis, peritoneal dialysis, or renal transplantation.

Surgical Intervention for treatment of PKD
Surgical drainage of infected cysts may be necessary if the infection has not responded to antibiotics. This is often done under the guidance of ultrasound.
Surgical removal of one or more renal cysts for pain management purposes.

Prognosis
PKD patients should maintain a low sodium diet, and avoid any contact sports that would apply direct trauma to the kidney's. These patient's should have their blood pressure regularly monitored as well as renal ultrasounds every 1-2 years. PKD1 patients will typically require renal replacement therapy by the age of 53, whereas, PKD2 patients will usually hold until 68.

http://emedicine.medscape.com/

Thursday, June 25, 2009

Pneumonia








Pneumonia is an infection of one or both of the lungs caused by either a virus, bacteria, or fungus. Over 3 Million Americans each year will be diagnosed with a form of pneumonia; approximately 5% will die each year from this disease.

Signs and Symptoms of pneumonia usually begin with cold like symptoms which then develop into a high fever, shaking chills, and a productive cough. Pneumonia patients may suffer from shortness of breath, and sharp chest pain during deep inspirations. They may also develop headaches, muscle aches, and cyanosis.

Pneumonia is often first suspected after a physician has listened to a patient's chest and breath sounds and hears coarse breathing, wheezing, faint breaths, and/or crackling sounds. A chest x-ray is usually performed to confirm the physicians finding, and provide a diagnosis of pneumonia. Other test such as sputum samples, blood tests, and/or bronchoscopies.

There are various types and forms of pneumonia, and treatment of pneumonia depends on the type of pneumonia the patient has. Many treatments begin with antibiotics such as: penicillin, amoxicillin, clavulanic acid, erythromycin, azithromycin, and clarithromycin just to name a few. At times, steriods are often used to treat pneumonia as well. There are also two available vaccines for specific forms of pneumonia.

Pneumonia can be a life-threatening disease for elderly, children, COPD patients, heart disease, diabetes, and certain cancers.


Sunday, May 3, 2009

Lumbar Spine Spinal Stenosis















Lumbar Spinal Stenosis occurs when either the vertebral foramen or the spinal canal at the level of the lumber vertebrae begins to narrow which then can cause painful nerve compression.

Anything that narrows or constricts the spinal canal can be a cause of lumbar spinal stenosis. The number one cause of spinal stenosis is a result of normal aging process - Degenerative Arthritis. Degenerative arthritis causes spinal stenosis because it causes the normal spinal space to narrow by either bone spurs, degenerative disc disease, or the hypertrophy of lumbar ligaments. Other causes of lumber spinal stenosis are:




Tumors




Infections




Any metabolic bone disorders such as Paget's disease.
Signs and symptoms of lumbar spinal stenosis are commonly severe low back pain, weakness and numbness in the legs, and pain in the legs. Usually symptoms of spinal stenosis worsen with prolonged walking, standing, and bending backwards. Bending backwards increases the narrowing of the spinal column causing symptoms to increase. For this reason, most patient's find more comfort in walking with a walker which allows the posture of the spine to be bent forward which decreases the nerve compression from the spinal stenosis. The symptoms of lumbar spinal stenosis will increase and worsen as time goes on, and can often result in loss of bladder control, loss of bowel function, and decreased sexual sensation.



Diagnosis of lumbar spinal stenosis begins with a thorough physical examination by the patients doctors. This allows the doctor to evaluate the patients symptoms in order to distinguish the symptoms of lumbar spinal stenosis from those of other neurological disorders. Next, the physicians will likely order lumbar spine and possibly hip radiographs. The physician will evaluate the disc height, any bone spurs, and spinal stability. However, the final deciding factors when diagnosing lumbar spinal stenosis are CT scans and MRI scans. These scans along with contrast administration allows for the spinal nerves in the lumbar spine to be visualized in order to see if there is any nerve compression from the spinal stenosis.

Lumbar spinal stenosis can be treated with medications. Anti-inflammatory and cortical steroid medications are the primary form of medicinal treatments geared towards reduced in the compression of nerves as a result of lumbar spinal stenosis. Physical therapy is also a recommended treatment. Finally if medication or physical therapy are not successful in reducing pain and symptoms, surgery is an option.

The main goal of surgery for lumbar spinal stenosis is to remove the structure that are causing the compression of the nerves. This surgery is usually spinal decompression surgery, which is often accompanied with a lumbar spinal fusion surgery depending on the number of compressed structures that need to be removed. Surgery for lumbar spinal stenosis is often more successful in removing the pain and numbness in the legs as opposed to relieving the actual back pain.


Sunday, April 26, 2009

Thoracic Spine Compression FX



















Thoracic Spinal Cord Compression Fx's commonly occur in the lower t-spine since the upper t-spine is stabilized by the rib cage attachments. Spinal cord compression fx's occur when the vertebral body of spinal cord collapse resulting in acute back pain that causes a decrease mobility and general health.




The most common motion that causes the vertebral body to collapse is a forward bend with downward pressure on the spinal column. Osteoporosis can also be a contributing factor to pts with t-spine compression fx's The osteoporotic t-spine can cause a pt's spine to form an exaggerated kyphotic curve of upper t-spine related to the back pain causing the shoulders to slump forward. Traumatic injuries such as an MVA, fall, or a forceful landing from a jump can all also cause t-spine compression fx's. Metastatic disease can also cause a t-spine compression fx. The spread of cancer to the vertebral body causes a weakening in the bony structure allowing a compression fx to present.




AP and Lateral radiographs are the best form of identifying t-spine compression fx's. This form of radiography is the best why to completely visualize the entire aspect of the vertebral body. Next, a multislice axial CT scan with reformats in the frontal and sagittal plane of the t-spine are useful to examine any pathology that may be affecting the spinal canal. MRI is used only in spinal cord compression fx pt's that have any resulting neurologic deficiencies. Lastly, an Nuclear Medicine bone scan may also be ordered to determine the age and nature of the t-spine compression fx.




Most t-spine compression fx are treated with pain medication, physical therapy, decreasing activity, bracing, and/or a form of surgical fixation.




Some t-spine compression fx may require the use of a vertebroplasty or kyphoplasty intervention. This procedure is done either in a surgical suite or in an interventional radiography suite. In a vertebroplasty, a medical grade cement is injected in the vertebral body at the site of the fx to stabilize the vertebrae in relieve pain. In a kyphoplasty, a balloon is inserted in the fx site in order to reinstate the original shape of the vertebral body, and then inject the medical grade cement into the vertebrae. This is also in efforts to rebuild the vertebral body to its original form and relieve pain.
















Sunday, April 19, 2009

JEFFERSON'S FX

A
B






Image A:
Image B:
A Jefferson's FX is a result of a burst fracture to the closed ring of C1 (atlas). A Jefferson's FX most commonly results in at least 2 fractures of C1 because of the anatomical structure being a ring. These FX's often occur as a result of an axial loading impact to the skull.
There are three impact injuries that are responsible for the majority of all Jefferson FX's.


1-Diving into shallow water and hitting on head


2 -Hitting on head of roof of motor vehicle during an MVA


3 - Falls that result in landing on head




Depending on the injury, and the amount of impact on the head other additional injuries can accompany a Jefferson's FX.


1 - C2 FX


2 - Vertebral artery damage


3 - Cranial nerve defects in V, IX, X, and XI


4 - atlantooccipital dislocation


5 - transverse ligament fracture
Pt's who have a Jefferson's FX will present with neck pain, as a result of an injury. It is common for most all neck pain pt's to present with these symptoms; however, it is vital to rule out a Jefferson's FX promptly before any neurologically damage occurs as a result of an untreated Jefferson's FX. If a pt presents, and is positive for a Jefferson's FX and does have substantial neurological deficits. They will need to have a tracheostomy place to assist with respiratory needs.
Once a Jefferson's FX has been confirmed, and the severity of the FX has been decided, a
decision on the treatment that needs to take place is the next vital step for these patients
Depending on the severity of any additional symptoms in patients with Jefferson's FX, treatment then varies accordingly.
The first steps of treatment occur at the site of the injury. Airway, breathing, and circulation must first be assessed prior to moving the patient. If the airway and breathing are not working sufficiently - intubation must be performed without movement of the C-spine. At this point, it is also important to remember that these patients may have suffered a concussion or may be in shock and unable to report any neck pain. To be safe, it is a must to treat all patients as if there might be a spinal cord injury of some sort.
Next, cervical spine radiographs need to be performed in the ER. Usually this is a x-table lateral c-spine film to evaluate the alignment of the odontoid complex in relation to the remaining c-spine vertebra. This view is best to r/o any anterior dislocation. The odontoid view is also necessary to image to symmetry of the odontoid projection between the lateral masses of C2. If a lateral disruption overhangs the masses by more than 6.9mm a C1 FX is a established. Lastly, a CT may be used in addition to verify the Jefferson's FX with thin axial slices through the level of the base of the skull through C2. Angiography may also be needed to evaluate any vertebral vessel involvement.
The most common way to treat a Jefferson's FX is with a surgical fixation of a Halo collar and/or vest. This is the best way to provide for stable and reliable healing process. Depending on any other cervical spine resulting injuries, determines how/where the Halo/Vest will be fixated. The should be maintained safely in a structured stability collar until time of surgery. Traction is not recommended due to the risk of spinal cord damage. Once the patient is in the OR, it is vital to keep the neurological function of the patient monitored in order to verify that no additional injury has occurred. Post operatively, the patient will remain in the Halo for 8-12 weeks. They also should regularly be monitored with radiographs to verify the healing process.




Friday, April 10, 2009

Vertebral Artery Dissection



Vertebral Artery Disease(VAD) is the more common cause of strokes in patients under the age of 45. It is closely related to Coronary Artery disease, with the exception of the unique signs and symptoms. VAD is caused by an expanding hematoma in the vertebral artery vessel wall. It can arise spontaneously or as a secondary result of trauma.


In the United States, 20% of ischemic strokes in patients between 30-45 age years old are caused of VAD, and 10% of all VAD resulting in death. The common ratio of female to male is 3:1 with the presentation of VAD.


A typical presentation of a patient with VAD will present with:

Severe occipital heachache
Posterior nuchal pain
CNS dysfunction
Ipsilateral facial dysesthesia (pain and numbness) - Most common symptom
Dysarthria or hoarseness (cranial nerves [CN] IX and X)
Contralateral loss of pain and temperature sensation in the trunk and limbs
Ipsilateral loss of taste (nucleus and tractus solitarius)
Hiccups
Vertigo
Nausea and vomiting
Diplopia or oscillopsia (image movement experienced with head motion)
Dysphagia (CN IX and X)
Disequilibrium
Unilateral hearing loss
Contralateral weakness or paralysis (pyramidal tract)
Contralateral numbness (medial lemniscus)


Causes of VAD include either spontaneous or traumatic VAD. Causes of traumatic VAD include MVA, fall, or penetrating trauma. Several risk factors of Spontaneous VAD include:


Spinal manipulation
Yoga
Ceiling painting
Nose blowing
Minor neck trauma
Judo
Medical risk factors
Hypertension (48% in one series)
Oral contraceptive use
Chronic headache syndromes/migraines
Intrinsic vascular pathology
Fibromuscular dysplasia
Cystic medial necrosis
Female sex
Recent infection


Diagnosing VAD involves all of the following workup:

Lab work is done in anticipation of the need for anticoagulants. A PT, PTT, INR, and ESR are all blood levels that will need to be evaluated in order to safely administer any anticoagulants.

CT Scan, CTA, MRI, MRA, Ultrasound Vascular Duplex Scanning, Transcranial Dopler's, and LP's are all diagnostic imaging studies that vastly aid in the diagnosing and evaluation of possible VAD and the patients additional symptoms.


Once it is ruled that anticoagulants are safe to administer, it is the preferred method of treating VAD in the emergency room.. The anticoagulants are intended to prevent thrombogenic or embolic occlusion of the vertebrobasilar network and subsequent infarction of posterior CNS structures, brain stem, and cerebellum. All patient's first under go a CT scan of the head to rule out any subarachnoid hemorrhage. Additionally, once a VAD patient is deemed stable, a neurosurgery consult should be ordered.





Sunday, March 29, 2009

Lipoma of the Neck


Axial contrast CT of the head and neck showing a fatty mass in the subcutaneous tissue in the back of the neck











Axial contrasted CT of the head and neck showing fat attenuating mass at the right side of the neck. The mass invades the right sternocleidomastoid muscle, and is an infiltrating lipoma.
Lipoma of the neck
Lipomas are benign tumors that consist of mature fat cells. They are more commonly found in subcutaneous tissues, but rarely can be seen within internal structures. Lipomas are developmentally different from normal fat cells due to their increase in levels of lipoprotein lipase.
Physical presentation
Small in size - 2-10cm
Predominately in women
Often appear lobulated
Overlying skin remains unaffected and unattached to lipoma
Neck, Back, and Proximal extremities are most often affected
Rubbery in consistancy
CT with contrast of the head and neck are the preformed form of imaging a lipoma of the neck. It is also the best imaging modality to diagnosis the difference between lipomas and liposarcomas. If liposarcoma is questioned a fine needle aspiration should be performed using ultrasound sonography.
Surgical removal by surgical excision procedures and liposuction are commonly the preferred form of treatments for lipomas of the neck; however in some case medications such as IV and topical lidocaine, steroid, and analgesics are used as well.
It is vitally important to provide adequate follow up care and maintenance to lipomas of the neck because they have the ability to evolve into additional diseases such as:
Hibernomas
Lipoblastomas
Liposarcomas
Neurofibromas
Epidermoid cysts
Obesity
Sialadenitis
Goiter
Lymphatic tumor
Dermatofibromas

Sunday, March 22, 2009

Saccular Aneurysms























An aneurysm can be defined as dilatation's in the lumen of the vessels of the brain caused by a weakness of all vessel wall layers. A Saccular aneurysm has rounded-berry like projections commonly arising from the Circle of Willis or the middle cerebral artery. Saccular Aneurysms are most often congenital in origin which gradually developed over a period of time; and as arterial pressure increases it weakens and then ultimately balloons out the vessel wall. This happens most frequently at bifurcation points.


Most Saccular Aneurysms do not present with any manifestations until they have ruptured. However, once they rupture, it is most often fatal.



Causes and Conditions Related to Saccular Aneurysms:
Trauma
Cocaine abuse
High-Flow states associated with Fistulas.
Infections
Tumors
Conditions related with increased rates of Saccular Aneurysms.
Polycystic Kidney Disease.
Coarctation of the aorta
Anomalous vessels
FMD
Connective Tissue disorders
High-Flow States
Vascular Malformations
Spontaneous Dissections


Signs and symptoms of saccular aneurysms are closely related to that of every other intercranial aneursym.

Pt's often state having the worst headache of their lives.
Cranial neuropathies
vision loss
seizures
TIA

The greatest cause of death from Saccular Aneurysms result from either trauma or vasospasms which are often related to the use of vasodilators or anticoagulants.

As the result of a Saccular Aneurysm a Subarachnoid Hemorrhage can occur:

A Saccular Aneurysm that has resulted in a Subarcharnoid Hemorrhage is most commonly graded on the Hunt and Hess scale. This scale measures the clinical severity of the hemorrhage. It ranges from a 0-5 with 0 being no rupture and 5 being a deep coma with morbid appearance of presenting patient. The Fisher scale is also highly used among health care providers because it describes that amount of blood seen on a noncontrasted head CT. It ranges from a scale of 1 - 4 with 1 being no blood detected and 4 being intracerebral or intraventricular clots.

DX and TX

MRA
MRV
CTA - Head CT with and without Contrast.

The most common treatment option for Saccular Aneurysms is Cerebral Surgeries to remove the clot or in efforts to drain blood that may have occured from a rupture.





http://emedicine.medscape.com/article/252142-overview

Monday, February 16, 2009

Orbital Blowout Fx!










Medial Blowout Fx Inferior Blowout Fx


http://radiopaedia.org/articles/blow-out_fracture



Orbital blowout fx are usually the result of blunt force trauma to the orbital rim. Examples of this type of trauma would be contact with a baseball, a baseball bat, MVA, and a fist. In an orbital fx, the blunt force "blows" out the floor or adjacent wall of the rim of the orbit. In most cases, it usually occurs in the inferior floor of the orbit, or the medial wall of the orbit. Also, the nasal bones are usually broken as well especially when the blowout fx involves the medial wall of the orbit.



Symptoms of an Orbital Blowout Fx are:



Pain



Diplopia on an upward stare - related to involvement on orbital muscles.



Enophthalmos - related to increased swelling and preasure in the orbital globe.



Facial numbness - related to inferior orbital nerve



Nose bleed



Orbital hemorrhage may occur


Imaging the Orbits


CT with coronals and axials specifically.


MRI with coronals and axials specifically, be sure to use fat suppression technique during exam.


Xray in the waters position especially.


Tx for Orbital Blowout Fx


Surgical repair of orbital blowout fx when:


More than 1/2 of the orbit floor or wall is invovled


Diplopia does not quickly resolve itself


Enophthalmos >2mm


Surgical repair usually involved a form of bone graft, synthetic material, or plate to fix the hole in the orbital rim.




Orbital blowout fx that go untreated, and have significant obital muscle, optic nerve, and acute bone damage can lead to long term visual defects as well as enophthalmos.




















































Sunday, February 8, 2009

Pituitary Macroadenoma























Additional images and radiology based information at (I thought it was interesting)!:
http://www.urmc.rochester.edu/SMD/rad/neurocases/Neurocase81.htm



Pituitary Macroadenoma is a a benign pituitary tumor of a size greater than 10mm. It must measure greater than 10mm to be considered a macroadenoma. If the tumor measures smaller than 10mm it would then be considered a pituitary microadenoma. The pituitary gland controls and regulates growth, metabolism, and reproduction in the human body.

Patients with pituitary macroadenoma may present with the following symptoms:




  • weakness



  • fatigue



  • restlessness



  • headaches



  • nausea



  • vomiting



  • vertigo



  • changes in hair growth



  • changes in body weight



  • loss of vision due to the macroadenoma compressing the optic nerve

Diagnosing a pituitary macroadenoma begins with the following tests being ordered by a physician. More common diagnosis processes include: blood tests, urine test, CT scans, and MRI scan; however some less common tests may include petrosal sinus samplings, and certain eye exams.Treating a pituitary macroadenoma include surgery to remove the tumor, radiation therapy to kill the tumor, and also a range of drug therapies depending on the patient's age and overall health. If left untreated, and depending on the hormone that the macroadenoma is secreting several additional diseases can develop such as: Cushing's disease, Acromegaly, Lack of menstruation, Abnormal production of breast milk, and even Diabetes Insipidus.

Friday, January 16, 2009

My Week

This week has been exciting thus far. Between the bitter below zero temps, my boyfriend's birthday, going back to my hometown-Anderson, IN-and getting to visit with my family, and getting a performance appraisal raise at work, a girl can't ask for much more! Although, in the world of radiology my week hasn't actually started yet since I work weekend option, so truly tonight is my Monday!
I hope everyone has a wonderful weekend, and try to stay warm. BURRRRRR- so cold outside. But not to worry, I hear the temps might actually go back above 0 this weekend!
Also, I just want to say how amazing it was to see the pilot of the American Airlines plane land it in the Hudson River, thank God no one was seriously injured. I feel that was truly a miracle.

Tuesday, January 13, 2009

My First Post!!!!



Hello, my name is Katelyn Eads, and this is my first ever BLOG!! This is very exciting!


I am 23 years old, and live just outside of Indianapolis, Indiana. I work at Community Hospital East as a weekend option night shift x-ray technologist. Also, I work at local county hospital as a PRN technologist. I hope to be finished with my bachelors degree by fall of 2009.


Between school and work, I enjoy traveling with my boyfriend, working out, reading, and sewing has recently become a popular hobby of mine. My boyfriend and I have been together for almost 3 years. We met in x-ray school, and he works at a local imaging center. I am excited to begin this class, and read everyone's blogs to see what everyone is up to this semester. This is a picture of Geoff and I in Key West, FL.